Άρθρα

Introduction: Coexistence of a primary gastric lymphoma and a gastric adenocarcinoma is a rare event. The diagnosis is suspected after the pathologic examination of the endoscopic biopsies and definitely documented with the examination of the surgical specimen.

Case  presentation: We are presenting a rare case of a 77-year-old Greek man with epigastric pain  of  one  and  a  half  month  duration,  nausea,  anorexia  and  weight  loss.  The  pathologic examination of the endoscopic biopsies and a lymph node biopsy excised at laparotomy, presented the interpenetration of synchronous occurring primary gastric lymphoma and a gastric adenocarcinoma with a documented cancer to cancer metastasis.

Conclusion: Prognosis of these rare tumours is largely dependent on the stage of the adenocarcinoma at presentation but due to lack of large series there are no data on the biological behavior of these tumours in comparison to adenocarcinoma.

Introduction

Gastric adenocarcinoma is one  of the most  common gastrointestinal  malignancies with   primary lymphoma to account for 1–7%  of all gastric  neoplasms. The coexistence of a gastric adenocarcinoma and a primary gastric lymphoma is a rarely observed event  with  few reports  in the literature [1-4]. Still only recently a possible causal relationship between those  different malignancies has been  suggested  focusing  on  the  role  of the  helicobacter pylori  infection [3]. Besides helicobacter pylori  infection Epstein  Barr Virus has  been  reported in  several  cases of gastric  adenocarcinoma and  primary gastric  lymphoma [5].

Collision tumors are thought to arise from  interpenetra- tion  of two synchronous juxtaposed malignancies. Colli- sion    tumours   are   distinct   entities   from    composite tumours which  are  characterized by two  divergent lineages originating from  the same neoplastic clonal  proliferation.

We are presenting here a rare case of "a" collision tumour of the stomach with a lymphomatous perigastric  node invaded by the gastric adenocarcinoma (cancer  to cancer metastasis).

Case  presentation

A 77-year-old man from greece was admitted to our department with epigastric pain of one and a half month duration, nausea, anorexia and  weight  loss. The physical examination was  negative. The  laboratory work-up revealed  a mild  anemia and  thrombocytopenia. The gas- troscopy  showed a 3 × 3 cm ulcerative  lesion  adjacent to the cardia  infiltrating the surrounding tissues. The gastric mucosa appeared red,  friable  and  with  superficial ero- sions. The duodenum was normal. Multiple biopsies were taken  from  the stomach. The computed tomography(CT) scan examination demonstrated a thickening of the  wall of the  stomach and  multiple enlarged periaortic lymph nodes.

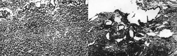
The pathologic examination of the endoscopic biopsies showed intestinal metaplasia and a dense lymphocytic infiltration of the mucosa giving the impression of a lym- phoma. In a particular tissue fragment, anomalous adeno- matous malformations with dysplastic epithelium were noted, suggesting  the  existence  of  a  gastric  adenocarci- noma (Figure 1).

2 fig 1

At laparotomy, an invasive  gastric tumour with  multiple metastatic lymph nodes was found. Extent of the tumour prevented surgery  with  curative  intend and  a palliative

gastrojejunostomy was created. A lymph node was excised for biopsy  and the abdomen was closed.

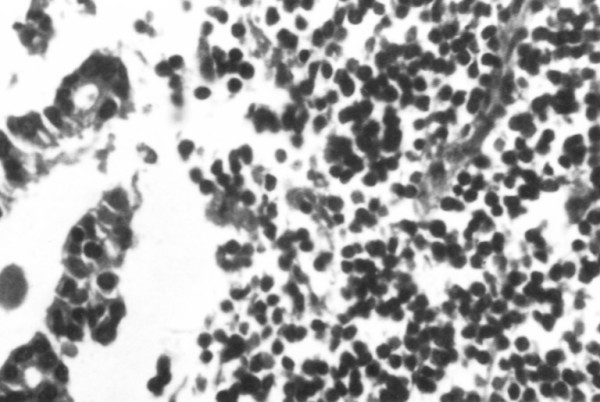
Subsequent  pathologic  examination of the removed lymph node showed total  infiltration from  a low  grade lymphoma; with a limited metastatic infiltration from  an adenocarcinoma noted in the same specimen (Figure 2).

2 fig 2

The postoperative course  of the  patient was uneventful. He  was  discharged on  the  ninth postoperative day  and referred for chemotherapy.

Conclusion

While in our  case histology showed the two primaries to interpenetrate each other  still collision tumour is consid- ered  for two distinct primaries involving the  same  organ [6] even with an equivocal transition zone found between them  [7]. Cancer to cancer metastasis referred to the met- astatic site, commonly a node, where  adenocarcinoma invades  the lymphomatous tumour deposits [8].

Referring  to the  pathological features  of gastric collision tumours reported in the literature a more  frequent occur- rence of the intestinal type adenocarcinoma in association with malt  lymphomas is noted clearly setting  the issue of the possible role of helicobacter pylori in the tumorigene- sis of both synchronous malignancies. The latter  hypoth- esis  has  been  proposed on  the  basis  of  certain morphologic features: the carcinoma is frequently an early gastric cancer,  well differentiated and  less extensive  than the lymphoma and the frequency of the coexistence  is referred  to be 0.36%  in published series which  is higher than  expected  by chance  and  strengthens the  hypothesis of common etiopathogenesis [2,3].

The cases of "a" colli- sion  tumour frequently show  an intestinal type early gastric  tumour, relatively  small  with  respect  to  the predominant lymphomatous proliferation [4]. The asso- ciation of gastric dysplasia  and mucosa associated lym- phoid tissue(MALT)  lymphoma has  also  been  reported [3]. The relationship of helicobacter pylori with MALT lymphoma has been hypothesized by the observation that antibiotic therapy against  this bacterium has been  shown to cause lymphoma regression, at least in cases at an early stage [9]. Helicobacter-pylori have been  found in 78% of synchronous double tumours, implicating a possible etio- logic role in concurrent tumours [3].

On the other  hand, the occurrence of a gastric adenocarci- noma after  treatment for  primary gastric  lymphoma  is more  frequent. The metachronous adenocarcinoma can be considered as a late complication of the cancer therapy; indeed, the occurrence of an adenocarcinoma in a gastric stump or after irradiation has been  extensively  described [10].

The prognosis of patients with  "a" collision primary gas- tric lymphoma and  adenocarcinoma has  not  been  clari- fied due  to the lack of large series and  long-term follow- up observations. However, it seems that the survival prob- ability is similar  to that for patients with gastric adenocar- cinoma without lymphoma and  significantly worse than that  for patients with MALT-type gastric lymphoma with- out adenocarcinoma [10].

References

  • Czerniak A, Lotan G, Engelberg IS, Rabau MY, Avigad I, Schachter P, Wolfstein I. The simultaneous coexistence of adenocarcinoma and primary malignant lymphoma in the stomach. J Surg Oncol. 1985;30:42–5. doi: 10.1002/jso.2930300112. [PubMed] [CrossRef]
  • Kasahara Y, Takemoto M, Morishita A, Kuyama T, Takahashi M, Tanji K. Coexisting adenocarcinoma and malignant lymphoma of the stomach: case report and review of the Japanese literature. Am J Gastroenterol. 1988;83:190–3. [PubMed]
  • Wotherspoon AC, Isaacson PG. Synchronous adenocarcinoma and low grade B-cell lymphoma of mucosa associated lymphoid tissue (MALT) of the stomach. Histopathology. 1995;27:325–31. doi: 10.1111/j.1365-2559.1995.tb01522.x. [PubMed] [CrossRef]
  • Adachi Y, Mori M, Enjoji M, Saku M. Coexistence of pseudolymphoma and early carcinoma in the stomach. Arch Pathol Lab Med. 1986;110:1080–2. [PubMed]
  • Goteri G, Ranaldi R, Rezai B, Baccarini MG, Bearzi I. Synchronous mucosa-associated lymphoid tissue lymphoma and adenocarcinoma of the stomach. Am J Surg Pathol. 1997;21:505–9. doi: 10.1097/00000478-199705000-00001. [PubMed] [CrossRef]
  • Yamashina M, Flinner RA. Concurrent occurence of adenocarcinoma and carcinoid tumor in the stomach. Am J Clin Pathol. 1985;83:233–236. [PubMed]
  • Manier JM, Reyes CN. Collision tumor of the stomach. Gastroenterology. 1974;67:1011–1015. [PubMed]
  • Jernstrom P, Murray GC. Synchronous double primary lympho-sarcoma and adenocarcinoma (collision tumor) of the stomach with cancer-to-cancer metastasis. Cancer. 1966;19:60–66. doi: 10.1002/1097-0142(196601)19:1<60::AID-CNCR2820190106>3.0.CO;2-Q. [PubMed] [CrossRef]
  • Wotherspoon AC, Doglioni C, Diss TC, Pan L, Moschini A, de Boni M, Isaacson PG. Regression of primary low-grade B-cell gastric lymphoma of mucosa-associated lymphoid tissue type after eradication of Helicobacter pylori. Lancet. 1993;342:575–7. doi: 10.1016/0140-6736(93)91409-F. [PubMed] [CrossRef]
  • Nakamura S, Aoyagi K, Iwanaga S, Yao T, Tsuneyoshi M, Fujishima M. Synchronous and metachronous primary gastric lymphoma and adenocarcinoma: a clinicopathological study of 12 patients. Cancer. 1997;79:1077–85. doi: 10.1002/(SICI)1097-0142(19970315)79:6<1077::AID-CNCR4>3.0.CO;2-D. [PubMed] [CrossRef]

Περισσότερα...

Management of Incidental Left-Sided Gallbladder
A left-sided gallbladder is a gallbladder located on the left side  of the round  ligament. It constitutes an  uncommon anatomic abnorm
Collision tumour of the stomach with a cancer to c
Introduction: Coexistence of a primary gastric lymphoma and a gastric adenocarcinoma is a rare event. The diagnosis is suspected after the pathologic
Lipoma induced jejunojejunal intussusception
Intussusception in adults is rare. The clinical picture of intussusception in adults is subtle and the diagnosis is, therefore, elusive. The presence
Rectal carcinosarcoma: A case report and review of
A 60-years old male was admitted to our department for investigation of constipation and hypogastric discomfort intensified during defecation of a few
Gardner’s syndrome: A case report and review of
Gardner’s syndrome is an autosomal dominant disease characterized by the presence of colonic polyposis, osteomas and a multitude of soft tissue tumo
Image

Οι ειδικοί κοντά σας

Εμπιστευθείτε το εξειδικευμένο επιστημονικό προσωπικό μας

Image
Αβέρωφ 19, Λαμία 351 00
22310-31441

Ενημερωτικά Δελτία

s5 logo

Επικοινωνία

Αβέρωφ 19
ΤΚ: 35 100 Λαμία
Τηλ: +30.22310.22685
Τηλ και FAX: +30.22310.31441
email: Αυτή η διεύθυνση ηλεκτρονικού ταχυδρομείου προστατεύεται από τους αυτοματισμούς αποστολέων ανεπιθύμητων μηνυμάτων. Χρειάζεται να ενεργοποιήσετε τη JavaScript για να μπορέσετε να τη δείτε.

twitter
Twitter

twitter
Facebook

twitter
RSS

twitter
YouTube
Η ιστοσελίδα μας χρησιμοποιεί cookies για την ευκολία της περιήγησης σας. Χρησιμοποιώντας τη ιστοσελίδα αποδέχεστε την χρήση τους.